Aller au contenu
RVH-Synergie
  • Accueil
  • Archives
    • Consulter les bulletins Le Flyer
    • E-ditos Le Flyer
    • Consulter les bulletins Correspondances
  • Ressources
    • Méthadone – Centres de prescription en France
    • Fiches patients
    • Forum PsychoActif
    • Forum Psychonaut
    • Réduction des risques à distance
    • Annuaire MILDECA (Drogues et toxicomanie)
    • Sites Web sélectionnés
  • Addictions
    • Comorbidités
      • Cancers et problèmes cardio…
      • Comorbidités psychiatriques
      • Douleurs chroniques
      • Infections virales (VIH, VHC, …)
    • Contextes de vulnérabilité
      • Grossesse
      • Hygiène de vie
      • Judiciarisation et milieu carcéral
      • Migrants
      • Pauvreté
      • Prostitution
    • Débats, réflexions
    • Fiches patients
    • Produits et usages
      • Addiction sans produits
      • Alcool
      • Cannabis
      • Cocaïne et crack
      • Drogues de synthèse
      • Opiacés (morphine, héroïne)
      • Tabac
    • Thérapeutiques
      • Alcoologie
      • Bas seuil et thérapeutiques
      • Buprénorphine HD
      • Méthadone
      • Prise en charge hospitalière
      • Psychothérapies
      • Réduction des risques
      • Secret professionnel
      • Substitution (MSO)
      • Tabacologie
      • Ville : généralistes et pharmaciens
    • Vu d’ailleurs
  • Conduites à risque
    • Adolescence
    • Comportements sexuels à risque
    • Conduites à risque
    • Conduites addictives
    • Cyber mésusage – Abus d’écran
    • Economie parallèle et trafics
    • Insertion
    • Parentalité
    • Scolarité
    • Souffrance psychique des jeunes
    • Violence
  • Actualités
    • Les addictions
    • Les maladies
    • Arrêter l’alcool
    • Parentalité & Enfance
  • Réseau Val d’Oise
    • Annuaire des ressources est Val d’Oise
    • Annuaire addictologie du Val d’Oise
      • Prise en charge des Addictions
        • Alcooliques Anonymes
        • Consultation de tabacologie
        • ELSA (Hôpital de Gonesse)
        • Liste des Consultations Jeunes Consommateurs du 95
        • Réseau Pass (95) – CSAPA & Insertion
        • Rivage, CSAPA, Sarcelles
        • RVH SYNERGIE
        • Autres Ressources du Val d’Oise

Les addictions

Les cas de schizophrénie liés au trouble de la consommation de cannabis ont presque triplé au cours des 17 dernières années: étude

Trouble d’utilisation du cannabis chez les femmes enceintes assurées aux États-Unis entre 2015 et 20120

31 mars 2025

La consommation de cannabis a augmenté pendant la grossesse, selon les chercheurs de la Columbia

Germer les infirmières praticiennes à améliorer les soins pour le trouble de la consommation d'opioïdes

Germer les infirmières praticiennes à améliorer les soins pour le trouble de la consommation d’opioïdes

28 mars 2025

Zhanette Coffee, Ph.D., MSN, APRN, a passé des années à travailler comme infirmière de pratique

Les adolescents ne trouvent aucune différence entre les publicités à l'alcool zéro et à l'alcool

Les adolescents ne trouvent aucune différence entre les publicités à l’alcool zéro et à l’alcool

27 mars 2025

Les adolescents considèrent que les boissons zéro alcool sont un type de boisson alcoolisée, ce

La médétomidine remplace la xylazine à Philly Street Fentanyl, créant de nouveaux obstacles pour les prestataires de soins de santé

La médétomidine remplace la xylazine à Philly Street Fentanyl, créant de nouveaux obstacles pour les prestataires de soins de santé

26 mars 2025

L’approvisionnement en opioïdes de la rue de Philadelphie – ou le marché de «dope» –

L'étude identifie le gène Shisa7 comme un moteur clé de la dépendance à l'héroïne

L’étude identifie le gène Shisa7 comme un moteur clé de la dépendance à l’héroïne

26 mars 2025

Le trouble d’utilisation des opioïdes est associé à plus de 350 000 décès par an

L'étude nationale en trouve un adulte sur quatre abus de stimulants sur ordonnance

L’étude nationale en trouve un adulte sur quatre abus de stimulants sur ordonnance

25 mars 2025

Les recherches menées par l’Institut national sur l’abus de drogues, l’administration de la toxicomanie et

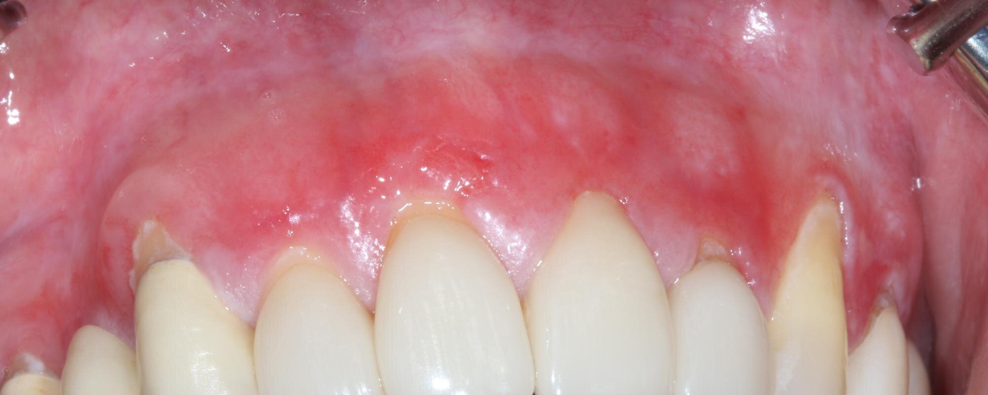
Inflammation grave des gencives trouvées après avoir utilisé du snus blanc

Inflammation grave des gencives trouvées après avoir utilisé du snus blanc

24 mars 2025

Une inflammation douloureuse qui prend des mois ou jusqu’à un an pour guérir – cela

Données de test d'opioïdes indisponibles dans la moitié des enquêtes sur les décès par blessures américaines, l'étude révèle

Données de test d’opioïdes indisponibles dans la moitié des enquêtes sur les décès par blessures américaines, l’étude révèle

24 mars 2025

Les informations sur les tests d’opioïdes n’étaient pas disponibles dans la moitié des enquêtes sur

La répression de la FDA contre les poppers incite à se précipiter sur la drogue populaire de la fête gay

La répression de la FDA contre les poppers incite à se précipiter sur la drogue populaire de la fête gay

24 mars 2025

Les magasins de haut en bas de Santa Monica Boulevard ont vu une course sur

Le lobby du tabac affirme que le vapotage déplaçant le tabagisme pour les jeunes; Un regard de près sur les preuves raconte une autre histoire

Le lobby du tabac affirme que le vapotage déplaçant le tabagisme pour les jeunes; Un regard de près sur les preuves raconte une autre histoire

23 mars 2025

Les sociétés de cigarettes électroniques, y compris des géants tels que le tabac britannique américain,

Articles plus anciens
Articles plus récents
← précédent Page1 … Page54 Page55 Page56 … Page105 → suivant

Le site RVH-Synergie.org est une source d'informations sur les addictions, les infections virales, les souffrances psychiques et les conduites à risques.

© 2026 - RVH-Synergie.org - Contact