Des médecins et des scientifiques ont signalé un cas d’infection par le virus de Séoul chez une femme. Le virus Séoul appartient à la famille des hantavirus et peut être transmis par les rats. Dans leur publication de l’affaire dans la revue Maladies infectieuses émergentesles experts recommandent un meilleur dépistage et de meilleures pratiques d’hygiène dans les établissements privés d’élevage de rats. Ils plaident également pour sensibiliser le public aux zoonoses, qui sont des maladies transmissibles des animaux aux humains.
Les experts comprennent des chercheurs des hôpitaux universitaires de Leipzig (UKL) et de Mannheim (UMM), ainsi que du Centre allemand de recherche sur les infections (DZIF) du Friedrich-Loeffler-Institut (FLI) et de l’Institut Bernhard Nocht de médecine tropicale (BNITM).
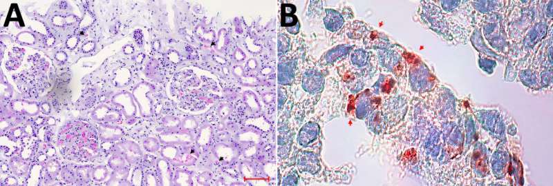
En mars 2024, une femme de 44 ans originaire du centre de l’Allemagne a été admise à l’hôpital avec de la fièvre, une fatigue extrême, de la diarrhée et une insuffisance rénale aiguë. Elle a eu besoin d’une dialyse temporaire, mais elle s’est finalement complètement rétablie. Des tests de laboratoire ont révélé qu’elle avait été infectée par le virus de Séoul, qu’elle avait très probablement contracté lors d’une visite dans un établissement privé d’élevage de rats de compagnie plusieurs semaines avant l’apparition de ses symptômes.
Une enquête conjointe des autorités sanitaires locales, de la FLI et du BNITM a révélé que le virus était présent chez plusieurs rats de l’élevage. Les analyses génétiques ont montré un degré élevé de similitude entre les séquences virales de l’établissement et celles du patient.
Bien que le virus de Séoul soit présent dans le monde entier, les infections humaines en Allemagne ont été signalées jusqu’à présent extrêmement rares. Le virus se propage principalement par l’inhalation de minuscules particules contaminées par de l’urine, des excréments ou de la salive infectieuses de rat. Aucune transmission interhumaine n’a été signalée.

« Beaucoup de gens ignorent que les rats de compagnie peuvent être porteurs d’agents pathogènes provoquant des maladies graves, » » déclare le professeur Rainer Ulrich, scientifique du DZIF au FLI et l’un des auteurs de l’étude. « Une propriété et un élevage responsables, une bonne hygiène animale et l’éducation du public, en particulier parmi les propriétaires de rats de compagnie, sont essentiels pour prévenir de nouvelles infections à l’avenir. »
« L’attention des médecins traitants et l’étroite coopération entre les autorités sanitaires et vétérinaires ont joué un rôle majeur dans l’élucidation de ce cas de maladie, » ajoute le Dr Mario Hönemann de l’Institut de microbiologie médicale, de virologie et d’épidémiologie des infections de l’UKL.
Les chercheurs réclament une surveillance accrue de l’élevage et de l’élevage de rats, une meilleure hygiène dans les installations d’élevage et une éducation du public sur les risques pour la santé associés à la détention de rats comme animaux de compagnie. Les personnes immunodéprimées et autres groupes vulnérables devraient éviter de garder des rats comme animaux de compagnie.
Fabian Baalmann et Johannes Münch de la Clinique et Polyclinique d’endocrinologie, néphrologie et rhumatologie de l’UKL, qui ont soigné la patiente directement à son chevet, ajoutent : « Nous recommandons également d’interroger les patients présentant une fièvre inexpliquée, une atteinte rénale ou des symptômes hémorragiques spécifiquement sur tout contact avec des rongeurs, y compris des rats de compagnie. »
Cette affaire met en évidence la nécessité d’une approche unifiée « Une seule santé » approche des maladies infectieuses transmises entre les animaux et les humains, qui adopte une vision holistique de la santé humaine, animale et des écosystèmes. « La force de « One Health » réside dans la coopération. Nous travaillons sur un pied d’égalité, respectons l’expertise de chacun et prenons des décisions ensemble. Cela transforme les disciplines individuelles en équipes fiables qui protègent les patients et la population, » résume Corinna Pietsch, responsable de la virologie clinique à l’UKL.