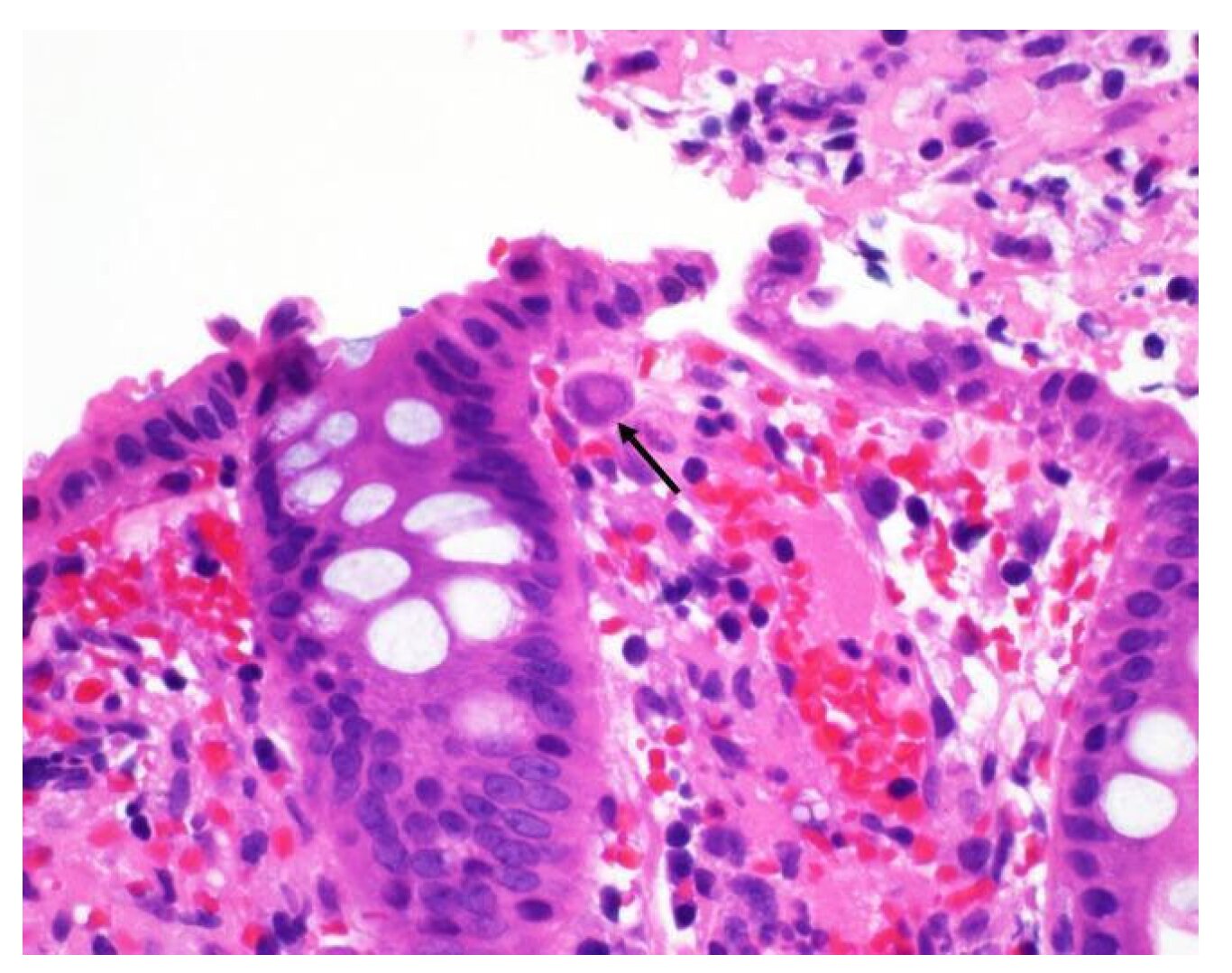
Sensibilisation à la colite de cytomégalovirus

Le cytomégalovirus (CMV), un virus commun dans la famille des herpèsviridae, infecte environ la moitié de tous les adultes aux États-Unis, dont la plupart éprouvent des symptômes légers ou pas. Bien que le virus reste généralement latent dans le corps, la réactivation du CMV est plus répandue chez les individus immunodéprimés, y compris les personnes atteintes d’une maladie inflammatoire de l’intestin (MII). Les personnes atteintes de MII sont plus sensibles à la réactivation du CMV en raison de l’inflammation chronique de l’intestin et de l’utilisation de médicaments immunosuppresseurs.

Lorsque le CMV réactive, il peut impliquer le côlon, en particulier chez les patients atteints de MII. Cette forme d’infection à CMV, connue sous le nom de colite CMV, est fréquemment sous-reconnue ou mal diagnostiquée, selon Alfredo Puing de la Yale School of Medicine, MD, qui note que les symptômes de la colite CMV, tels que les douleurs abdominales et la fièvre, imitent souvent une éruption de MII.

Le chevauchement de la présentation entre les fusées éclairantes par les MII et la colite CMV peut compliquer le diagnostic, le traitement et la gestion, explique Puing, professeur adjoint de médecine (maladies infectieuses). Pour aider à relever ce défi clinique, il a publié un article de revue mis à jour sur le sujet de la revue Virus.

Dans un Q&R, Puing discute de ce qu’il a appris en examinant les dernières recherches sur la colite CMV chez les patients adultes atteints de MII et l’importance de sensibiliser à cette condition.

Pourquoi est-il important d’étudier la colite CMV?

De plus en plus souvent, les patients reçoivent un diagnostic de MII, et ils reçoivent de nouvelles thérapies et leur immunosuppression s’est intensifiée avec ces thérapies. Il est important que nous soyons conscients des complications potentielles, car le traitement de la colite CMV est un équilibre entre la quantité d’immunosuppression que vous souhaitez retirer pour permettre à l’infection de nettoyer par rapport à la quantité de médicaments antiviraux que vous souhaitez donner. Parce que ce n’est pas une décision facile à prendre, il est utile d’avoir des conseils clairs.

Que montre les nouvelles recherches sur les approches pour traiter et gérer la colite CMV?

Avec cette revue, nous avons pu capturer le type d’immunothérapie que vous utilisez pour traiter un patient avec une poussée de MII concomitant avec une infection au CMV pour permettre à l’inflammation de diminuer tout en permettant à l’infection virale de s’éclaircir. Les stéroïdes et les corticostéroïdes sont des agents que nous aimons généralement retirer.

Cependant, de nouvelles thérapies biologiques et ciblées peuvent permettre la poursuite du traitement des MII pendant le traitement antiviral pour le CMV. Selon le mécanisme d’action, nous n’avons pas nécessairement besoin d’arrêter le traitement de la MII lors du traitement de l’infection par le CMV.

Quel est l’objectif de votre revue récemment publiée des dernières recherches sur la colite CMV chez les patients adultes atteints de MII?

Mon objectif est de sensibiliser à la colite CMV en tant que cause potentielle de la poussée des MII qui ne répond pas aux thérapies standard. Il existe de nombreuses directives et recommandations pour gérer le CMV dans les receveurs de transplantation d’organes et de cellules souches solides. Mais les données sur les patients immunodéprimés en raison de thérapies par les MICI plutôt que de transplantation ou de tumeurs malignes hématologiques sont limitées.

L’objectif de cette revue était de synthétiser les dernières recherches pour aider les maladies infectieuses et les spécialistes de la gastro-entérologie à naviguer dans ce scénario complexe.

Nous traitons et gérons généralement cette population de patients en fonction des données et des directives disponibles que nous avons sur d’autres types de populations immunodéprimées. L’idée était de développer un ensemble de recommandations adaptées à ces patients car ils ont besoin d’une sorte de thérapie immunosuppressive ou immunomodulatoire pour leur maladie inflammatoire sous-jacente.

Il est important de naviguer que, en termes de médicaments, il faut éviter, redémarrer ou poursuivre les MII lors du traitement de la colite CMV. Enfin, nous avions besoin d’une meilleure idée de la durée pour traiter le CMV dans cette population.

Plus nous avons d’informations, plus nous pouvons améliorer les résultats et la qualité des soins pour ces patients.