SARS-COV-2 infecte les cellules testiculaires et utilise des machines cellulaires pour se reproduire, les résultats de l’étude

Le virus Covid-19 détourne la machinerie des cellules testiculaires qui produisent la testostérone hormonale afin de se reproduire. Il s’approprie également les voies métaboliques de ces cellules et du cholestérol, un précurseur de la testostérone, modifiant ainsi le métabolisme des lipides pour sa formation.

Ceci a été vérifié dans une étude menée au Brésil par des chercheurs de l’École de dentisterie Araraquara de l’Université d’État de São Paulo (FOAR-USESP), en partenariat avec la Ribeirão Preto School of Medicine de l’Université de São Paulo (FMRP-USP), dans les testicules de souris transgéniques. La recherche est publiée dans la revue Frontières en microbiologie cellulaire et infection.

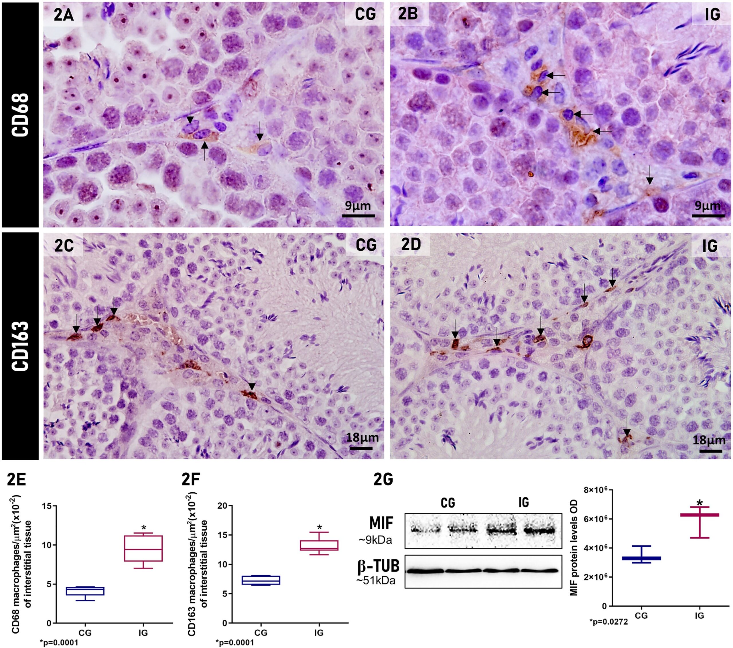
L’étude a révélé la présence de particules SARS-COV-2 dans les inclusions lipidiques et les organites responsables de la production de testostérone dans les cellules de Leydig pour la première fois. De plus, les chercheurs ont décrit le mécanisme par lequel le virus interfère avec le fonctionnement de ces cellules testiculaires. La découverte aide à expliquer pourquoi les patients masculins atteints de Covid-19 sévères ont des niveaux de testostérone inférieurs, et peut-être du cholestérol.

« Après avoir infecté les cellules Leydig dans les testicules, le virus utilise des voies de métabolisme lipidique et la structure cellulaire pour reproduire, ce qui altère la production de testostérone.

« De plus, les cellules sont responsables du stockage du cholestérol – essentiellement pour la synthèse de la testostérone – et contiennent des machines cellulaires spécialisées pour la production d’hormones stéroïdes, ce qui en fait une cible favorable pour l’infection. »

La recherche a été menée à l’aide de souris transgéniques qui ont été développées dans un laboratoire et ont exprimé le récepteur viral ACE2. Lorsqu’ils sont infectés, ils développent Covid-19 de la même manière que les humains, ce qui permet une meilleure compréhension du mécanisme utilisé par le virus.

« Nous avons observé que à la fois dans le testicule transgénique de souris et dans le testicule humain, il y avait une concentration intense d’ACE2 dans les mêmes types de cellules. Le résultat valide donc le modèle utilisé dans l’étude et confirme que le testicule est un organe cible pour le SRAS-COV-2 », explique le chercheur.

Dans l’expérience, les chercheurs ont découvert que le SARS-COV-2 peut modifier le métabolisme lipidique des cellules de Leydig. Cela se produit parce que le virus utilise le cholestérol stocké par la cellule pour la production de testostérone pour se reproduire. Ainsi, malgré les faibles niveaux de testostérone dans les cellules de Leydig infectées, elles étaient pleines de lipides car le virus a également induit une augmentation de l’internalisation du cholestérol pour sa propre réplication et formation.

Caractère immunologique

L’étude a également observé des changements dans le profil fonctionnel des cellules Leydig. Après avoir été infectés par le virus, ils ont cessé de produire des hormones stéroïdes à partir du cholestérol et ont pris un profil immunologique.

« Infection with SARS-CoV-2 also induced the Leydig cells to produce large amounts of pro-inflammatory cytokines, a process they don’t normally perform. This increase in cytokines may also have interfered with testosterone production, impairing this main function, » explains Salmo Azambuja de Oliveira, a student in the Structural and Functional Biology Program (BEF) at the Federal University of São Paulo (UNIFESP) and le premier auteur de l’étude.

Ces résultats font progresser notre compréhension des processus cellulaires et moléculaires associés à la dysfonction endocrinienne testiculaire causée par une infection virale.

«Les résultats corroborent les faibles taux de cholestérol observés cliniquement chez les patients atteints de Covid-19 sévères et peuvent faire la lumière sur la vulnérabilité des hommes au Covid-19 et leur taux de mortalité plus élevé par rapport aux femmes.

« L’étude ouvre également la voie au développement de marqueurs qui indiquent la gravité du Covid-19, ainsi que des thérapies pour traiter la maladie en fonction des médicaments (hypola puissante) qui interfèrent avec le métabolisme des lipides et inhibent l’action virale », explique Sasso-Cerri.