Les spécialistes du cancer savent depuis longtemps que l’anémie, causée par un manque de globules rouges saines, survient souvent lorsque le cancer se métastase à l’os, mais on ne sait pas pourquoi. Maintenant, une équipe de recherche dirigée par les chercheurs de l’Université de Princeton, Yibin Kang et Yujiao Han, a révélé exactement comment cela se produit dans le cancer du sein métastatique, et cela implique un type de détournement cellulaire. La recherche vise à aider à ralentir les métastases osseuses – l’une des formes les plus meurtrières du cancer.
Dans une étude publiée dans la revue Cellule Le 3 septembre, Kang et Han révèlent que les cellules cancéreuses réquisitionnent efficacement une cellule spécialisée qui recycle normalement le fer dans l’os, connu sous le nom de macrophage de l’île érythroblastique (EBI). Cela prive à la fois les globules rouges du fer nécessaire et aide la tumeur à continuer de se développer dans l’os.
Comprendre le cancer métastatique – ou le cancer qui se développe et se propage dans d’autres parties du corps au-delà du site tumoral d’origine – est d’une importance cruciale. C’est l’une des formes les plus meurtrières de cancer et il n’y a pas de remède. Parmi les patientes qui meurent d’un cancer du sein et de la prostate, 70% ont des métastases osseuses.
« L’espoir est de ralentir ou de traiter les métastases osseuses et, en même temps, à soulager les complications de l’anémie, » a déclaré Han, auteur principal de l’étude et boursier de recherche associé au Département de biologie moléculaire de Princeton.
Comprendre le sol où se développe le cancer
Kang a expliqué que la découverte représente une nouvelle orientation de recherche pour son laboratoire – un qui quitte l’attention de la « graines » de cancer au « sol » dans lequel il se développe dans un site d’organe métastatique. Cette idée, connue sous le nom « Hypothèse des graines et du sol, » a été proposé pour la première fois il y a plus d’un siècle par le chirurgien britannique Stephen Paget.

Pendant une grande partie des deux dernières décennies, Kang, qui est professeur de biologie moléculaire de Warner-Lambert / Parke-Davis à Princeton, et bien d’autres dans le domaine de la biologie du cancer se sont concentrés principalement sur les cellules tumorales elles-mêmes (les « graines ») et comment elles s’adaptent à la propagation et à la croissance en os. Mais pour vraiment comprendre les métastases, a-t-il dit, il est tout aussi important d’étudier le sol – l’environnement environnant qui nourrit ou restreint le cancer.
Jusqu’à récemment, cependant, le « sol » de la moelle osseuse est restée largement inexplorée. « Ce fut un gros trou noir, » Kang a déclaré, qui est également un membre fondateur de la succursale de Princeton du Ludwig Institute for Cancer Research. « Nous n’avions pas une compréhension globale de ce dont le sol est fait. »
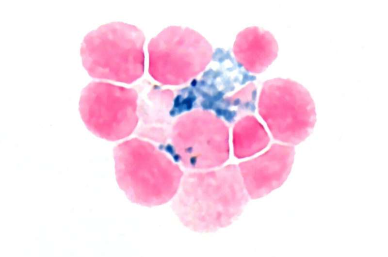
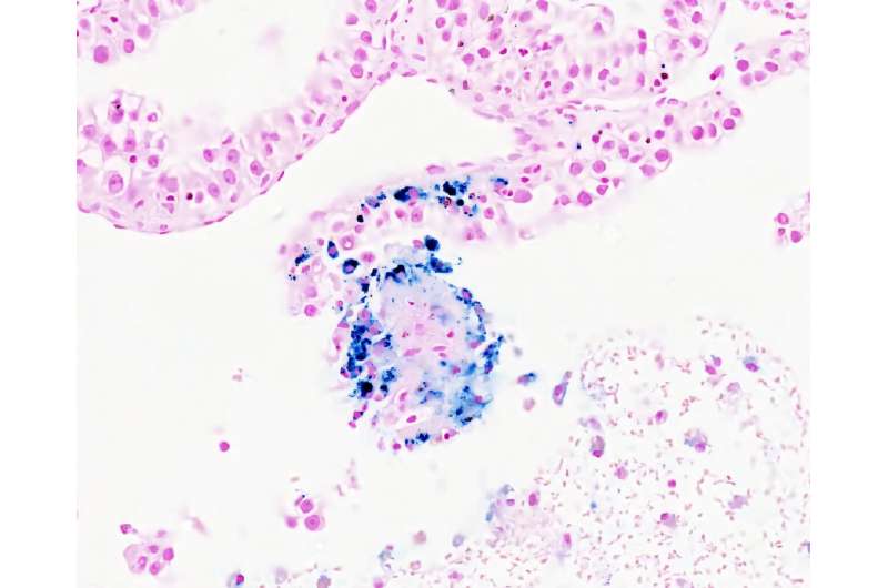
Cela a commencé à changer avec l’avènement des technologies avancées d’étiquetage des cellules et de séquençage unique, ce qui a permis à l’équipe de Kang de cartographier la moelle osseuse dans des détails sans précédent. Kang, Han et ses collègues ont pu identifier et visualiser des grappes de macrophages spécialisés se rassemblant autour de la tumeur – des cellules qui auraient dû soutenir la production de globules rouges mais, au lieu de cela, ont été détournés pour servir le cancer.
Comment les cellules cancéreuses trompent des saines
Dans des conditions saines, ces macrophages agissent comme « cellules infirmières, » Nourrir le fer au développement des globules rouges afin qu’ils puissent mûrir et transporter de l’oxygène. Mais en présence de métastases osseuses, la tumeur attire ces macrophages de son côté à l’aide de molécules de signalisation, puis détourne leur fer loin des globules rouges. De plus, la perturbation va au-delà de la perte de fer seule.

Kang et Han ont constaté que les macrophages exploités par la tumeur ne soutiennent pas non plus l’étape de maturation finale des globules rouges – l’expulsion de leurs noyaux – de plus en plus du développement des globules rouges et de l’aggravation de l’anémie. Cela affirme la moelle osseuse du fer nécessaire pour la production de globules rouges sains et verrouille les globules rouges dans leur état immature, laissant les patients anémiques.
Dans le même temps, les cellules cancéreuses ont mis le fer volé à leur propre usage. Ils s’adaptent en imitant eux-mêmes les globules rouges. Sous la direction d’un facteur de transcription des cellules sanguines appelée GATA1, les cellules tumorales commencent à produire de l’hémoglobine, la même protéine de transport en oxygène qui remplit les globules rouges. Ce « mimétisme des globules rouges » Permet à la tumeur de prospérer dans l’environnement pauvre en oxygène de l’os, en protégeant les cellules cancéreuses du stress et en les aidant à survivre.
En bref, la tumeur crée un cercle vicieux: il coopère le système de recyclage du fer de l’os pour se nourrir, tout en sabotant simultanément la capacité du corps à fabriquer de nouvelles globules rouges.
« C’est essentiellement un loup se déguisant en mouton en mangeant des aliments similaires à ce que les moutons mangent, et cela les aide à mieux survivre dans l’environnement, » a déclaré Kang, qui est également directeur associé du Rutgers Cancer Institute of New Jersey.
Bien que la présente étude se soit concentrée sur le cancer du sein métastatique, les résultats ont été étendus à d’autres types de cancer majeurs et ont des implications générales. En révélant comment les tumeurs manipulent leur environnement, le travail ouvre de nouvelles voies pour des thérapies conçues non seulement pour ralentir ou arrêter les métastases osseuses, mais aussi pour atténuer l’anémie débilitante qui l’accompagne si souvent.