Emphysème au dépistage pulmonaire CT lié à un risque plus élevé de décès chez les adultes asymptomatiques

L’emphysème détecté sur la TDM thoracique à faible dose de base (LDCT) dans la cohorte de dépistage du cancer du poumon de plus de 9 000 adultes asymptomatiques a été associé à la mort de toutes causes, à une maladie pulmonaire obstructive chronique (MPOC) et à une maladie cardiovasculaire au cours d’une période de suivi de 25 ans dans une nouvelle étude publiée dans Radiologie.

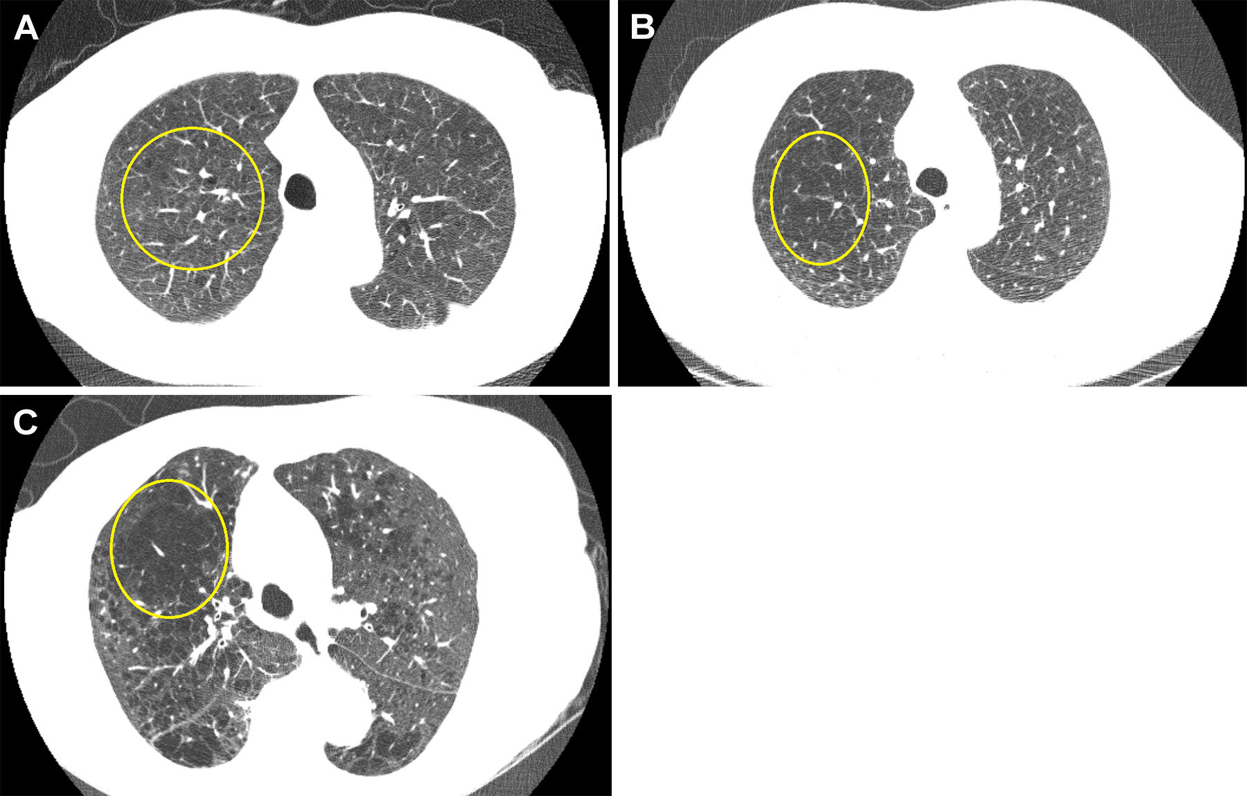
L’emphysème est une maladie pulmonaire permanente et progressive dans laquelle les sacs aériens dans les poumons sont endommagés, ce qui rend la respiration difficile. Il est principalement causé par une exposition à long terme aux irritants comme la fumée de cigarette et la pollution de l’air.

« Jusqu’à présent, nous ne savions pas si la notation de l’emphysème visuel de base sur le LDCT dans le cadre du dépistage du cancer du poumon avait une valeur pronostique », a déclaré Claudia I. Henschke, Ph.D., MD, radiologue et professeur de radiologie dans le département de diagnostic, moléculaire et interventionnel de la radiologie de l’ICAHN à la Mount Sinai, à New York.

« Notre étude se distingue par sa longue analyse de suivi et de complexe des causes de décès dans une grande cohorte de dépistage du cancer du poumon. »

Dans l’étude, une cohorte de dépistage du cancer du poumon de 9 047 adultes asymptomatiques (40 à 85 ans à l’inscription; 4 614 femmes) avec des antécédents de tabagisme a subi une LDCT de base à New York et a été suivie jusqu’à 25 ans dans le cadre du programme international d’action sur le cancer du poumon précoce (I-ELCAP).

Les participants (âgés médians de 65 ans, des années de pack médian 43 et un suivi médian de 23,3 ans) ont subi un LDCT de base entre 2000 et 2008 et ont été suivis lorsque cela est possible jusqu’à la mort ou le 31 décembre 2024. Les années de pack sont une mesure d’exposition à vie à la fumée de cigarette calculée en multipliant le nombre d’années passées à fumer par le nombre de paquets de cigarettes par jour.

Un radiologue thoracique expérimenté a évalué chaque LDCT et a attribué un score reflétant le niveau d’emphysème présent de 0 (aucun) à 3 (sévère).

« Le dépistage du cancer du poumon ne devrait pas simplement rechercher des nodules », a déclaré le Dr Henschke, enquêteur principal de l’I-ELCAP. « C’est une petite partie de ce que nous voyons sur la tomodensitométrie. En tant que radiologues, nous sommes responsables de l’image entière. »

Parmi les participants de l’étude, 70,9% n’avaient aucune preuve d’emphysème. Le pourcentage d’emphysème léger, modéré et sévère était respectivement de 21,1%, 5,7% et 2,4%. Près de 80% des participants identifiés à l’emphysème sur leur LDCT de base n’avaient pas été diagnostiqués auparavant, dont 5% des participants avec un emphysème modéré ou sévère.

Un peu plus d’hommes que de femmes ont été diagnostiqués avec un emphysème (30,1% contre 28,2%). Les preuves de la maladie ont augmenté avec l’âge avancé et une exposition cumulative cumulée plus élevée.

À la fin de l’année 2024, 3 738 participants (41,3%) étaient morts, le plus souvent d’une maladie cardiovasculaire (12,7%) et d’une MPOC (3,3%). L’âge médian au moment du décès de toutes les causes était de 81, et de la MPOC, des maladies cardiovasculaires et d’autres causes, il était respectivement de 81, 82 et 81 ans.

Une analyse statistique des associations entre l’emphysème et la mortalité a démontré que la maladie pulmonaire était associée à la mortalité de la MPOC mais pas à la mortalité par maladie cardiovasculaire.

« Cliniquement, ces résultats suggèrent que l’emphysème n’est pas simplement une conclusion de tomodensitométrie accessoire, mais une entité de maladie distincte associée aux pires résultats et une mortalité accrue, non seulement du cancer du poumon mais aussi des maladies respiratoires et cardiovasculaires », a déclaré le Dr Henschke.

« Les résultats montrent un risque accru de toutes les causes de décès par la présence d’emphysème et sa gravité, allant d’une augmentation de 1,15 fois pour une maladie légère et une augmentation de 2,28 fois pour l’emphysème sévère. Pour les décès dus à la MPOC, le risque accru allait de 2,07 fois pour une maladie légère à une augmentation de 12,06 infiltrés pour le lancement de l’impression sévère. »

Les résultats de l’étude permettront aux prestataires de soins de santé d’adapter un traitement basé sur le risque pour empêcher la progression de la maladie. Le Dr Henschke a déclaré que l’utilisation d’une évaluation visuelle de l’emphysème comme prédicteur de la santé deux décennies dans le futur fait partie d’une nouvelle ère de santé préventive.

« La quantité d’informations que vous obtenez et la capacité d’agir de manière significative est quelque chose que la santé préventive rêvait d’être il y a quelques années à peine », a-t-elle déclaré.

Le Dr Henschke envisage un programme complet de dépistage du cancer du poumon qui évalue également la MPOC et le risque de maladies cardiovasculaires pour identifier les personnes qui peuvent bénéficier d’interventions pour améliorer les résultats.

« Les pulmonologues, les cardiologues et les radiologues doivent travailler ensemble, car l’un influence l’autre », a-t-elle déclaré. « Nous devons travailler à des solutions de manière holistique. »

Bien que le Groupe de travail sur les services préventifs des États-Unis recommande le dépistage annuel du cancer du poumon avec le LDCT pour les adultes âgés de 50 à 80 ans qui ont 20 antécédents de tabagisme et qui fument ou quittent actuellement au cours des 15 dernières années, le Dr Henschke a déclaré qu’elle aimerait également voir des prestations de dépistage étendues aux personnes qui n’ont jamais fumé.

« Aux États-Unis, environ 30 000 à 40 000 décès chaque année se trouvent dans les non-fumeurs », a-t-elle déclaré. « C’est environ un tiers du total des décès dus au cancer du poumon chaque année. »