Une nouvelle étude a méticuleusement échantillonné différentes régions pulmonaires chez les personnes atteintes de fibrose kystique pour comprendre pourquoi les infections persistent après de nouveaux traitements.
Le rapport de recherche a été publié dans Hôte de cellule et microbe.
La fibrose kystique provoque l’accumulation de mucus collant qui piège les bactéries. Au fil du temps, les infections endommagent les poumons.
Malgré de nouveaux médicaments appelés modulateurs qui traitent la cause sous-jacente de la fibrose kystique, la plupart des personnes atteintes de cette affection génétique restent infectées par les bactéries qu’ils avaient avant le traitement.
« Les modulateurs sont de nouveaux traitements incroyables qui ont vraiment amélioré la qualité de vie des gens », a déclaré Samantha Durfey, ancien érudit postdoctoral à la University of Washington School of Medicine et chercheur principal du projet. « Cependant, les infections parviennent à rester, même avec le meilleur modulateur, et nous devons comprendre pourquoi. »
La compréhension des maladies par les médecins est souvent limitée par les échantillons qu’ils peuvent obtenir. Par exemple, les infections pulmonaires ou rénales impliquent d’étudier le flegme ou l’urine. Mais que se passe-t-il s’ils pouvaient entrer à l’intérieur des organes humains pour mesurer la maladie dans différents domaines et voir comment ils réagissent au traitement?
Des chercheurs de l’UW School of Medicine et de l’Université de l’Iowa ont fait exactement cela.
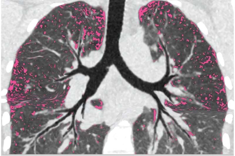
Avant que les participants à l’étude ne commencent sur des modulateurs, les chercheurs sont entrés dans les poumons des patients avec des caméras minces appelées bronchoscopes. Ils ont échantillonné des régions qui différaient par la quantité de dommages, d’infection et d’inflammation.
Ils ont ensuite revu les mêmes zones pulmonaires un an après le traitement pour voir où l’infection restait et quelles caractéristiques pulmonaires étaient liées à une infection persistante.

« Une idée principale sur le terrain est que les patients restent infectés parce que les régions pulmonaires très endommagées ne peuvent pas effacer l’infection, similaire à la façon dont les tissus endommagés des plaies sont infectés », a déclaré le pulmonologue de médecine UW, le Dr Sid Kapnadak, qui a dirigé un échantillonnage pulmonaire pour l’étude. « Si un processus similaire est responsable des infections pulmonaires persistantes CF, la recherche peut se concentrer sur ces domaines. »
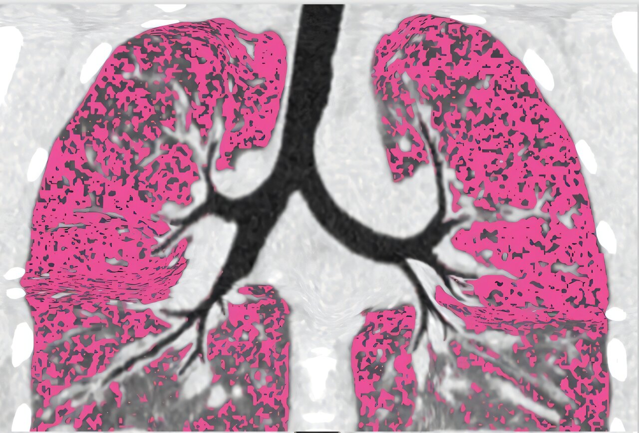
« Ce que nous avons trouvé était une surprise, et il y avait une bonne et une si bonne nouvelle », a déclaré Durfey. « La bonne nouvelle était que, lorsque les infections se sont dissipées, l’inflammation pulmonaire a presque complètement résolu. Ainsi, les futurs dommages pulmonaires pouvaient être réduits chez les personnes qui s’éclaircissent. »
Durfey a poursuivi: « Cependant, les personnes qui sont restées infectées avaient une infection et une inflammation partout où nous regardons, y compris les zones pulmonaires avec très peu de dégâts. »
Ces résultats suggèrent que les dommages pourraient ne pas être la principale cause de la persistance des infections et soulever que la fonction pulmonaire chez les personnes infectées bactériennes pourrait continuer de se détériorer.
« Maintenant, nous devons comprendre comment l’infection peut persister dans tous les domaines des poumons », a déclaré le Dr Pradeep Singh, chercheur principal de l’équipe. « Les bactéries peuvent s’adapter de nouvelles façons de résister à la clairance même lorsque les régions pulmonaires les moins endommagées sont traitées avec les meilleurs médicaments que nous ayons. »
Singh est médecin de soins intensifs à l’UW Medicine et professeur de médecine et de microbiologie à la UW School of Medicine de Seattle.
Les chercheurs explorent également d’autres possibilités.
« L’idée précédente sur les régions pulmonaires très endommagées étant le coupable peut être partiellement correcte », a déclaré Alison Feder, professeure adjointe de sciences du génome à la UW School of Medicine et chercheuse de l’équipe. « Les bactéries pourraient se disséminer de ces zones et se propager à des zones intactes. »
« Nous avons fait des progrès en regardant à l’intérieur des poumons infectés », a déclaré Durfey, « mais il y a encore beaucoup de choses que nous ne comprenons pas. »