Détecter et traiter les muscles cardiaques malades aussi efficacement que possible

Une étude multicentrique coordonnée par l’hôpital universitaire Bonn (UKB) impliquant 26 centres européens fournit de nouvelles informations sur le cours de la maladie, l’évaluation du pronostic et les facteurs de risque de myocardite sévère. Les résultats ont maintenant été publiés dans le European Heart Journal.

Le cœur humain est un muscle creux qui pompe environ 8 000 litres de sang à travers le corps chaque jour. Lorsque le muscle cardiaque, connu sous le nom de myocarde, est enflammé, il est appelé myocardite. Il peut sévèrement nuire à la fonction du cœur, en particulier sa capacité à pomper efficacement le sang à travers le corps.

Dans environ 30% des cas, cette inflammation complexe suit une évolution clinique grave et est mortelle. Cette forme sévère de myocardite est également appelée « myocardite fulminante » et se caractérise par une fonction de pompe cardiaque réduite et une insuffisance circulatoire mortelle qui en résulte, et dans certains cas, même un arrêt cardiaque.

Un traitement optimal nécessite non seulement un soutien cardiologique intensif à la fonction cardiaque, mais aussi un traitement différencié des facteurs de déclenchement. Cependant, l’approche diagnostique de la myocardite fulminante et la combinaison optimale des thérapies appropriées n’ont pas encore été suffisamment recherchées. On sait peu de choses sur le cours à long terme et les facteurs de risque de mortalité.

C’est précisément là que l’étude internationale multicentrique coordonnée par l’UKB avec 26 centres européens se trouve. Avec l’une des plus grandes cohortes mondiales pour la myocardite fulminante à ce jour, l’étude dirigée par le professeur Dr. Dr. Med. Enzo Lüsebrink du Heart Center de l’UKB fournit de nouvelles informations sur le cours de la maladie, l’évaluation du pronostic et les facteurs de risque pour cette maladie grave. Au total, 271 patients ont été inclus dans l’étude.

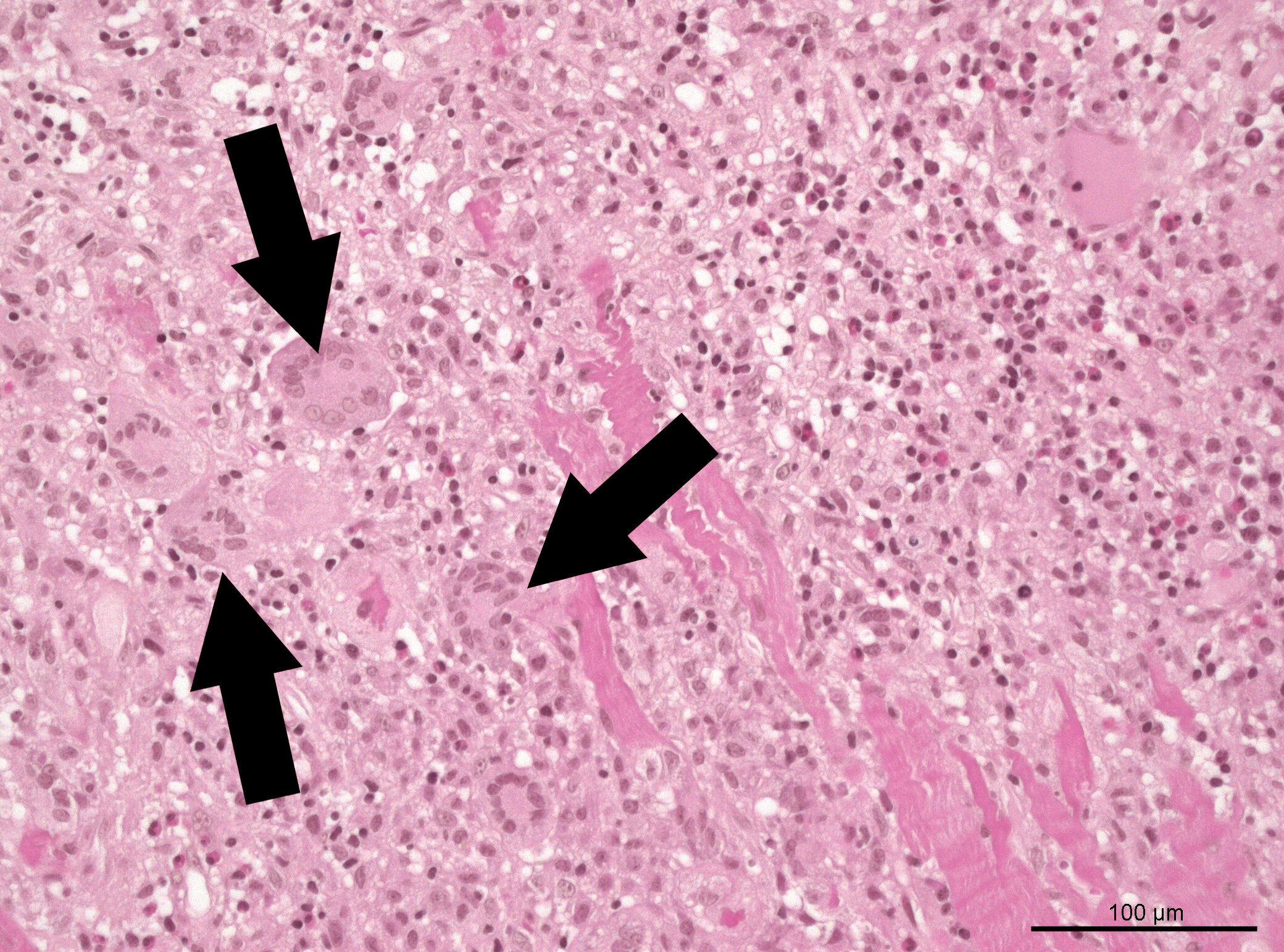
Une première découverte initiale de l’étude est que les patients atteints de myocardite dite des cellules géantes – une forme spéciale de la maladie nommée d’après les très grandes cellules trouvées dans les échantillons de tissus – ont un taux de mortalité significativement plus élevé (50%) en tant qu’autres sous-groupes (environ 30%). Ces données indiquent la grande importance de l’échantillonnage précoce des tissus pour la collecte des échantillons comme aspect central du diagnostic de la myocardite fulminante.

De plus, l’âge et la valeur du pH mesurés au début ont été identifiés comme des facteurs de risque indépendants de mortalité hospitalière, qui peuvent fournir des informations précieuses pour le pronostic dans la pratique clinique. L’utilisation de procédures de support circulatoire modernes et complexes pourrait ainsi devenir encore plus ciblée.

Une troisième conclusion clé de l’étude est les données sur les résultats à long terme. Parmi ceux qui ont survécu jusqu’à la sortie, il n’y a pas eu de décès supplémentaires au cours des années suivantes, et le débit cardiaque initialement réduit s’est rétabli. La fonction neurologique a également été évaluée comme bonne dans la majorité des survivants. Dans l’ensemble, le pronostic à long terme après la survie de la phase aiguë peut donc être considéré comme très bon.

Pour les auteurs, les conclusions de l’étude sont claires: « Les résultats à long terme pour les patients qui survivent à la sortie sont excellents. C’est précisément pourquoi nous devons identifier rapidement les patients à haut risque et optimiser les stratégies de traitement. L’âge, la valeur du pH et les échantillons de tissus peuvent servir de marqueurs pronostiques », explique le chef de l’étude Lüsebrink.

« La biopsie endomyocardiale précoce devrait être l’objectif dans les cas de myocardite fulminante soupçonnée cliniquement, car les résultats histopathologiques jouent un rôle décisif dans la gestion et le pronostic », ajoute le professeur Dr. Georg Nickenig, cardiologue et directeur du UKB Heart Center. « Cela nous permettra d’améliorer les concepts thérapeutiques et ainsi de traiter également les résultats pour tous les patients atteints de myocardite fulminante à long terme. »